A beautiful smile is not just about straight teeth—it’s about harmony, proportion, and lasting strength. At Trivandrum Dental Specialists’ Group, we often see patients with long-standing restorations that no longer serve their aesthetic or functional needs. One such case involved a patient who came to us with concerns about the color mismatch and irregularity in the upper front teeth which had a visible impact on both their smile and confidence.
This blog walks you through how we addressed this issue with a combination of root canal therapy, tooth reshaping, and the placement of permanent zirconia crowns—a durable, lifelike, and long-term solution.
Understanding the Problem: Old Restorations and Smile ImbalanceThe patient presented to our clinic with noticeable shade discrepancies and irregular contours in their upper anterior (front) teeth. A closer examination revealed several old composite restorations. These were discolored, worn down, and no longer matched the natural enamel, creating a visible mismatch in color and surface finish.
In addition, there was a reverse curve—a condition where the natural arch of the upper teeth is inverted, leading to functional concerns and an imbalanced appearance. This not only affects the aesthetics but also the bite and the overall harmony of the face.
Our Diagnosis: Reverse Curve & Failed Composite RestorationsOur dental team performed a comprehensive assessment using digital imaging and clinical evaluation. We identified:
Stained and aged composite restorations
Shade mismatch affecting the patient’s smile line
Reverse curve altering occlusion and alignment
Need for endodontic treatment to stabilize tooth structure
Such a combination of aesthetic and structural issues required a multi-disciplinary approach, combining endodontics, prosthodontics, and cosmetic dentistry.
The patient was fully briefed on the treatment plan, and our approach was carefully tailored for long-term success. It included:
1. Root Canal Treatment (RCT):
To stabilize the upper anterior teeth and eliminate
any potential pulp-related issues, we initiated root
canal treatment. This also provided a stable
foundation for crown placement.
2. Tooth Reshaping:
Minor reshaping of the tooth structure helped
correct the reverse curve, ensuring better alignment
and improved function.
3. Crown Placement with Zirconia:
Finally, we replaced the old composite restorations
with custom-crafted zirconia crowns, chosen for
their superior strength, lifelike aesthetics, and
long-term reliability.
Zirconia has rapidly become the material of choice for high-quality dental crowns—and for good reason. Here’s why we chose zirconia in this case:
1. Natural Aesthetics:
Zirconia crowns mimic the translucency and
light-reflecting properties of natural enamel,
giving a seamless, natural appearance.
2. Strength and Durability:
Unlike composite or even porcelain-fused-to-metal
crowns, zirconia offers exceptional fracture
resistance, making it ideal for long-term use in
front teeth.
3. Biocompatibility:
Zirconia is highly biocompatible, meaning it's
gentle on the gums and less likely to cause
irritation or allergic reactions.
4. Stain Resistance:
Zirconia is non-porous and resists staining far
better than older composite materials, helping
maintain a brighter smile over time.
The entire process was completed in a few visits, thanks to our digitally optimized workflow and expert in-house lab coordination:
1. Initial Evaluation and Digital Imaging
2. Root Canal Treatment using rotary endodontics and digital imaging for precision
3. Tooth Preparation and Impressions
4. Trial Fitting of Temporary Crowns
5. Final Placement of Zirconia Crowns, bonded with long-lasting dental cement
Throughout the procedure, patient comfort was prioritized using gentle techniques and modern anesthesia. The patient experienced minimal discomfort and was impressed by the professionalism and attention to detail.
The transformation was remarkable. The reverse curve was corrected, alignment was improved, and the color and contour of the crowns blended perfectly with the surrounding teeth.
The patient was extremely satisfied with the outcome, expressing renewed confidence in their smile and improved comfort while biting and speaking.
Real Smiles, Real Results: Case Studies from Our ClinicWe pride ourselves on delivering personalized dental care that not only restores function but also brings back confidence to our patients' smiles. Here's a recent case that beautifully highlights how comprehensive treatment planning can lead to exceptional results.
Patient Concern: A middle-aged female patient visited our clinic with a primary concern about spacing in her upper front teeth. She was particularly self-conscious about the gap and was seeking an aesthetic and long-lasting solution.
Pre-operative picture
Mesioden In the IOPAR
Diagnosis: Upon clinical and radiographic examination, we discovered the presence of a mesioden—an extra tooth located between her Upper Right Central and Lateral Incisor. This supernumerary tooth was contributing to the spacing and misalignment in the anterior region.
Radiograph after extraction of the mesioden
Radiographs after Rootcanal treatment
Treatment Plan:
Extraction of the mesioden
Root canal treatment of the Upper Right Central and Lateral Incisors
Prosthetic rehabilitation with a permanent fixed bridge
To enhance both function and aesthetics, we utilized a creative restorative approach. The patient's peg lateral was reshaped to function as a canine, and the missing tooth was replaced as a Lateral Incisor—restoring symmetry and balance to her smile.
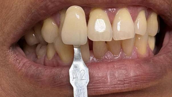
Shade selection
The Final Touch: The patient opted for a Zirconium bridge, known for its strength, durability, and natural appearance. The result was a seamless, natural-looking smile transformation.
Outcome: The patient was extremely satisfied with the outcome. Her smile was not only corrected functionally but also dramatically enhanced in appearance—boosting her confidence and overall satisfaction.
After tooth preparation for bridge
After Bridge placement
Transforming a Smile: A Full-Mouth Rehabilitation of Upper Anterior Teeth
At our dental clinic, we recently had the opportunity to help a middle-aged male patient regain not just his oral function, but also his confidence.
Patient Concern: The patient presented with composite fillings on his upper anterior teeth (from right canine to left canine). However, the results from previous dental work left much to be desired. There was a clear shade mismatch between the fillings and the natural teeth, which made the restorations very noticeable when he smiled or spoke.
More significantly, the patient had a reverse curve in the upper anterior region—a condition where the natural curvature of the smile arch is inverted. This disrupted the overall smile aesthetics.
Treatment Plan:
Root Canal Treatment for all upper anterior teeth (from right canine to left canine) to manage any underlying pathology and provide a stable foundation for prosthetic work
Placement of Zirconia joined crowns across the anterior segment to restore form, function, and aesthetics
Smile designing using crowns to correct the reverse curve and improve facial harmony
The Smile Transformation: Zirconia crowns were chosen for their superior strength and excellent esthetics, allowing us to achieve a lifelike appearance with high durability. The crowns were custom-shaded to match the patient’s natural teeth, eliminating the previously noticeable mismatch.
Through careful planning and execution of smile design principles, we successfully reversed the unnatural curvature of the upper anterior arch. The result was a balanced, harmonious smile that significantly enhanced the patient's overall appearance.
Outcome: The transformation was not just physical—it had a profound psychological impact on the patient. He reported feeling more confident and happy with his smile for the first time in years. It was a rewarding reminder of the life-changing power of modern dentistry.
Closing the Gaps: A Smile Makeover with Porcelain Veneers
At our clinic, we understand that a confident smile is more than just aesthetics—it's an important part of how you present yourself to the world. One of our recent cases involved a woman in her mid-30s who came to us with a very specific concern: noticeable spacing between her upper front teeth.
Patient Concern: The patient had been managing the issue with composite restorations for several years. While composites can be a good temporary solution, over time they tend to stain, chip, and lose their luster—especially in the high-visibility area of the upper incisors. Understandably, she was now seeking a more permanent and natural-looking solution.
Our Recommendation: Porcelain Veneers
After
a thorough evaluation, we recommended porcelain veneers
for the upper central and lateral incisors. Veneers are
ultra-thin layers of ceramic custom-crafted to bond onto
the front surfaces of teeth. They’re highly durable,
stain-resistant, and provide an incredibly lifelike
appearance—making them an ideal choice for smile
correction in the aesthetic zone.
Treatment Plan:
Digital Smile Design was carried out to ensure harmony in tooth size, shape, and spacing.
The teeth were minimally prepared to receive the veneers, preserving as much natural tooth structure as possible.
Custom porcelain veneers were fabricated to close the gaps and enhance symmetry.
The final restorations were bonded with precision, resulting in a seamless, radiant smile.
Result After Veneers were put in
The Result: Confidence Restored
The transformation was both subtle and striking. The
spacing was completely corrected, and the veneers
blended beautifully with the natural dentition in terms
of shade, texture, and translucency. The patient was
delighted with the result, noting how natural and clean
her smile looked—without the worries of staining or
recurring touch-ups.
Final Thoughts
Porcelain veneers offer an excellent long-term solution
for patients looking to correct spacing, discoloration,
or worn-down enamel—especially when composites no longer
meet aesthetic expectations.
If you’ve been covering up your smile or relying on
temporary fixes, it may be time to explore a more
lasting option. Let us help you design a smile that
truly reflects your inner confidence.
Multidisciplinary Expertise: Our in-house specialists in endodontics, prosthodontics, and cosmetic dentistry ensure each case is handled with clinical precision.
Advanced Technology: From intraoral scanners to digital X-rays and rotary tools, we leverage modern tools for accuracy and comfort.
Customized Aesthetic Planning: We design crowns that are tailored to your facial profile, smile line, and bite, ensuring both function and beauty.
Sterile, Comfortable Environment: Our clinic follows international hygiene standards and offers a relaxing experience for patients of all ages.
Old composite fillings and patchwork restorations may temporarily fix a problem—but for a lasting, natural-looking solution, zirconia crowns offer unmatched benefits. Whether you need to correct alignment, restore strength, or achieve a perfect shade match, our team is here to help.
Don’t let outdated dental work affect your smile or your confidence. Trust Trivandrum’s leading dental team to help you rediscover a smile that feels as good as it looks.
