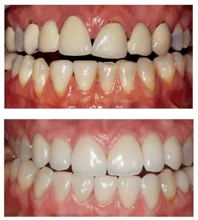
It is a speciality that deals with treating conditions that
affect the gums and supporting structures around the teeth.
The most noticeable symptoms of gum disease is bleeding
gums. Other signs include persistent bad breath, sensitive
or loose tee gum recession and swollen gums. The treatment that your periodontist will provide depends on
how far gum disease has progressed, which includes non
surgical and surgical procedures.