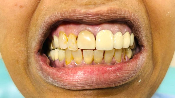
This patient came to our clinic with an awkward looking crown in the upper front teeth region.
On examination it was found that she has an old metal ceramic crown on the upper right central incisor which was bulky, opaque, wrong color and lacked all aesthetics. The patient was very unhappy with the overall look of the crowns and commented that she was reluctant to even smile at people, due to different teeth being in so many colors!.
We advised the patient to replace the metal ceramic crown with a Metal Free Zirconium Crown. The crown that we at Trivandrum Dental Specialists Group placed, was sleek and translucent. It has very high aesthetics, and looked totally natural, as it has an emerging profile (ie it looks exactly like it is emerging naturally from the gum of the patient), an effect that is very difficult to achieve!
The patient was very happy with the results and regained her confidence to smile more.